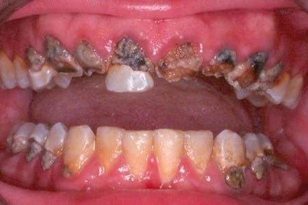
Unhealthy Teeth are more common than you think—did you know that nearly 3.5 billion people worldwide suffer from oral diseases? According to global oral health research, untreated tooth decay (cavities) is one of the most widespread health conditions. From children to adults, rising sugar consumption, poor brushing habits, and irregular dental visits are silently damaging smiles every day.
When left untreated, minor plaque buildup turns into bad teeth cavities, gum infections, and even tooth loss. Studies also show that Health problems caused by bad teeth can include heart disease, diabetes complications, and respiratory infections. Poor oral health is not just about appearance—it’s directly connected to overall body health.
The good news? Most causes of Unhealthy Teeth are preventable. By understanding the root causes and making simple lifestyle changes, you can protect your smile and avoid expensive treatments later.
In this blog, you’ll discover 8 critical causes behind unhealthy teeth, backed by research and real examples, along with actionable steps on how to fix unhealthy teeth before serious damage occurs.

One of the biggest reasons for Unhealthy Teeth is poor brushing and flossing. Many people brush only once a day or skip flossing completely. This leads to plaque buildup, which eventually hardens into tartar. Over time, bacteria attack enamel, causing bad teeth cavities and gum inflammation.
Research shows that brushing twice daily with fluoride toothpaste can reduce cavity risk by up to 40%. However, bad teeth hygiene habits—like brushing too quickly or not cleaning the tongue—allow bacteria to thrive. For example, someone who rushes brushing for 20 seconds instead of 2 minutes may miss plaque along the gum line.
Good hygiene is the foundation of healthy teeth.
Sugary drinks, chocolates, and processed snacks are major contributors to tooth decay. When sugar combines with bacteria in the mouth, it produces acid that weakens enamel.
Children and teenagers are especially vulnerable. Frequent snacking increases acid attacks throughout the day. This directly leads to bad teeth cavities and enamel erosion.
Limiting sugary foods and rinsing your mouth after meals can significantly reduce risks.
Smoking reduces saliva production and increases plaque buildup. Tobacco users are more likely to develop gum disease, tooth discoloration, and oral cancer.
Many cases of severe bad teeth before and after transformations show dramatic damage caused by smoking. Yellow stains, gum recession, and loose teeth are common signs.
Quitting tobacco improves oral health within weeks and reduces long-term risks.

Many people visit dentists only when they feel pain. Unfortunately, by then, damage is often advanced.
Routine checkups help detect cavities and gum disease early. Preventive care can stop small issues from turning into major procedures.
Ignoring early symptoms is one of the hidden drivers of Unhealthy Teeth worldwide.
Saliva protects teeth by washing away food particles and neutralizing acids. Conditions like diabetes, medications, or dehydration can reduce saliva flow.
Without enough saliva, bacteria multiply rapidly. This increases the risk of decay and gum disease.
Drinking water regularly and consulting a dentist can help manage dry mouth.
A diet low in calcium, vitamin D, and phosphorus weakens enamel. Soft drinks and acidic foods further erode teeth.
Strong teeth need proper nutrition. Including dairy products, leafy greens, and nuts strengthens enamel and reduces decay risk.
Healthy eating supports both teeth and overall health.
Grinding teeth—especially at night—wears down enamel and causes sensitivity. Stress is a common trigger.
Over time, grinding can crack teeth and lead to severe damage. Dentists often recommend night guards to prevent long-term harm.

Some individuals are genetically prone to cavities or gum disease. Medical conditions like diabetes also increase risk.
Even celebrities sometimes struggle with dental problems—searches for a bad teeth actress often highlight how dental correction treatments dramatically improve smiles. Similarly, certain bad teeth characters in movies are designed to show how poor oral health affects appearance.
Genetics may influence risk, but preventive care still makes a huge difference.
If you think you may have gum disease or are experiencing signs of Unhealthy Teeth, we are here to help!
Make an appointment with at our tooth lab clinic office by calling (925) 705-7093 or by booking an appointment online.
Early action can prevent serious damage and costly procedures.
Your smile reflects your overall health. While Unhealthy Teeth may seem like a small issue at first, they can lead to severe infections, pain, and systemic health problems. The connection between oral health and conditions like diabetes and heart disease proves that dental care should never be ignored.
The good news is that most dental problems are preventable. By improving hygiene, reducing sugar, quitting tobacco, and visiting your dentist regularly, you can protect your smile for life. Remember, even small changes—like brushing correctly for two minutes—can create powerful results.
As many healthy teeth quotes say, “A healthy smile is a beautiful smile.” Take action today and avoid becoming another example in a dramatic bad teeth before and after story.
The main causes of Unhealthy Teeth include poor brushing, sugar intake, smoking, and skipping dental visits. These lead to bad teeth cavities, and gum disease.
Health problems caused by bad teeth include heart disease, infections, and diabetes complications.
Learning how to fix unhealthy teeth starts with proper brushing, flossing, a balanced diet, and professional dental cleaning.
Yes, bad teeth hygiene allows bacteria to spread into the bloodstream, affecting major organs.
Genetics can increase risk, but good habits prevent most cases of Unhealthy Teeth.