Dental Visit Frequency plays a bigger role in your health than you think—are you visiting your dentist often enough?
Studies from global oral health organizations show that nearly 3.5 billion people suffer from oral diseases, and many of these conditions are preventable with proper visit frequency and early care. Yet, one of the most searched questions online is: “how often does the average person visit the dentist?” The surprising answer is that many adults delay dental appointments until pain forces them to book a visit.
Research indicates that preventive dental care can reduce the risk of gum disease by up to 40% and lower the need for complex procedures. However, misconceptions about dental frequency, cost concerns, and fear often prevent people from scheduling regular checkups. Some even ask, “We should visit a dentist regularly true or false?”—when the evidence strongly supports regular care.
In this blog, you’ll uncover six hidden truths about Dental Visit Frequency, backed by research and real-world examples. By the end, you’ll clearly understand how often you should go to the dentist for a cleaning, why consistency matters, and how simple habit changes can protect your smile for life.

Understanding Dental Visit Frequency is not just about routine cleanings—it’s about long-term oral and overall health. Let’s explore the truths most people don’t realize.
Many people believe visiting the dentist twice a year is enough for everyone. While this is the standard recommendation, your personal visit frequency depends on your oral health status.
For example, someone with gum disease, diabetes, or braces may need more frequent dental clinic visits. On the other hand, a person with excellent oral hygiene may maintain oral health with biannual visits. Dentists evaluate risk factors before recommending personalized schedules.
Skipping appointments to “save money” often leads to higher treatment costs later. Small cavities detected early during routine dental frequency checks can be treated with simple fillings.
If ignored, those same cavities may require root canals or crowns, costing significantly more. Preventive care reduces long-term expenses and avoids emergency treatments.
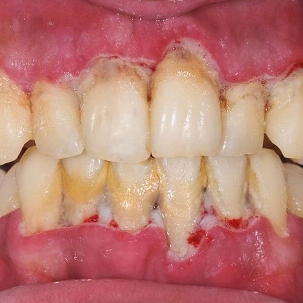
Gum disease often shows minimal symptoms in early stages. Without proper Dental Visit Frequency, patients may not notice bleeding gums or mild inflammation.
By the time pain appears, the condition may have advanced significantly. Regular cleanings remove plaque buildup that brushing alone cannot eliminate.

Research links poor oral health with heart disease, diabetes, and respiratory conditions. Maintaining proper Dental Visit Frequency helps reduce systemic inflammation caused by oral bacteria.
For example, individuals with untreated gum infections are at higher risk for cardiovascular complications. Preventive care supports overall wellness.
One common question is: How often should you go to the dentist for a cleaning? For most adults, every six months is ideal. However, smokers or patients with periodontal disease may require cleaning every 3–4 months.
Dentists also consider frequency limitations dental factors such as insurance coverage, medical history, and plaque buildup rate.
Watching a dental visit vlog or reading online advice may give general guidance, but personalized dental evaluations are irreplaceable.
While educational content helps awareness, only a licensed dentist can determine your proper schedule and oral health needs.

If you think you may have gum disease or you’re unsure about your Dental Visit Frequency, we are here to help! Make an appointment at Tooth Lab Clinic today by calling (925) 705-7093 or by booking an appointment online. Our experienced team provides personalized care to ensure your smile stays healthy and bright.
Understanding the hidden truths about Dental Visit Frequency can transform the way you approach oral health. Regular checkups are not just about clean teeth—they are preventive measures that protect your overall health, reduce costs, and detect problems early.
If you’ve ever wondered, “how often does the average person visit the dentist?” or questioned whether regular visits are necessary, the evidence is clear. Consistent care leads to fewer complications, better confidence, and a healthier smile for life.
Make your oral health a priority today—because prevention is always better than cure.
The recommended Dental Visit Frequency is every six months, but it may vary depending on oral health conditions and risk factors.
Studies show many adults visit once a year, but dentists recommend twice annually for optimal dental frequency maintenance.
True. Regular visits reduce the risk of gum disease, cavities, and other complications by maintaining proper visit frequency.
Most people should schedule cleanings every six months. However, high-risk individuals may require more frequent visits.
Insurance policies, health conditions, and risk levels may affect recommended Dental Visit Frequency, so consult your dentist for personalized advice.